您当前所在位置:网站首页 > 卫健动态 >

白水县医院超声科:成功实施首例巨大肝囊肿微创硬化治疗术

来源:卓越陕西网|发布时间:2025-03-190
       近日,白水县医院超声科与陕西省肿瘤医院超声科程颢教授紧密合作,成功实施了首例超声引导下经皮巨大肝囊肿硬化微创治疗术+术中脏器造影。这一里程碑式的手术不仅填补了我院在巨大肝囊肿微创治疗领域的空白,更标志着我院超声介入技术迈上了新的台阶,为众多肝囊肿患者带来了福音,提供了一种创伤小、恢复快的治疗新途径。
       患者李女士,一位68岁的心内科住院患者,长期受到右上腹不适的困扰。在超声检查中,医生发现其肝囊肿直径已达11cm。面对这一挑战,程颢教授带领的超声介入团队与心内科主任孙晓梅携手,对患者进行了详尽的术前检查与评估,并最终决定实施经皮超声引导下肝囊肿硬化治疗术。

图片

图片

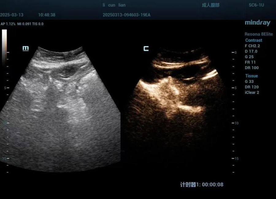
       手术过程中,超声科团队在超声的精准引导下,将穿刺针准确置入肝左叶囊肿内,成功抽出约800ml黄色清亮液体,并注入稀释后的造影剂进行囊内造影。确认造影剂未进入肝内胆管及腹腔后,团队使用无水乙醇冲洗囊液至清亮,并注入了聚桂醇泡沫剂。整个手术过程顺利,李女士未出现任何不适反应,术后其右上腹症状完全消失。
      李女士感慨地说:“真没想到一根细针就能解决大问题,早知道治疗这么轻松,我就不那么纠结了!”

图片

手术前(肝囊肿直径约11cm)

图片

手术后

       此次手术的成功实施,不仅彰显了超声科团队的专业技术和紧密合作,更是医院对超声介入技术持续投入和不断创新结出的硕果。下一步,白水县医院将继续深耕超声介入领域,不断探索新技术、新项目,致力于为患者提供更优质、高效的医疗服务。
科普知识:

什么是超声引导下囊肿硬化治疗术?

是在超声实时引导下,利用PTC针穿刺囊肿后,抽(引流)尽囊液,再注入相应硬化剂,使囊肿壁细胞变性、坏死,最终丧失分泌功能使囊腔闭合、囊肿逐渐缩小(消失)的过程。

适应症

1.肝、肾(含多囊肝、多囊肾)囊肿达5cm或以上囊肿;
2.囊肿合并出血或感染;
3.特殊部位囊肿导致有临床症状;
4.因囊肿导致精神紧张、主动要求治疗者。

禁忌症

1.先天性肝内胆管囊状扩张或与肝内胆管相同的肝囊肿;
2.抗凝治疗期间、出血倾向、凝血功能障碍者;
3.发热、全身感染者;
4.神志不清、严重心肺功能不全不能配合者;

5.妊娠及哺乳期妇女。

(来源:白水县卫生健康局)


责编:朱刚

编辑:李亮



生成海报

版权所有和免责声明

1. 凡本网注明“来源:卓越陕西网”的所有作品,版权均属本网所有,未经本网授权不得转载。已经本网授权,必须注明“来源:卓越陕西网”,违者将追究法律责任。

2. 凡本网注明“来源:XXX(非卓越陕西网)”的作品,转载此文是出于传递更多信息之目的。

3. 若有来源标注错误或侵犯了您的合法权益,请作者持权属证明与本网联系,我们将及时更正、删除,谢谢。

电话:17749134140 电子邮箱:1607756458@qq.com

Copyright © 2024 陕西求真务实文化传媒有限公司 All Rights Reserved. 陕ICP备2024042476号 XML地图